Marble Falls Crowns and Bridges
Porcelain Crowns
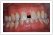
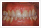
Applied Procedures: Porcelain Crowns
P1527_ss660bs_t P1527_ss660ys_t
Before Photo After Photo
Applied Procedures: Porcelain Crowns
P1527_ss661bs_t P1527_ss661ys_t
Before Photo After Photo
Applied Procedures: Porcelain Crowns, Dental Bridges
P1527_ss662bs_t P1527_ss662ys_t
Before Photo After Photo